A complete all-inclusive implant package for one low price. Compatible with all major implant systems. 

Must submit case in the customer portal.

SiMPLiCiTY SOLUTIONS include:

INCLUDES:

Screw Retained Zirconia  

✔ Lab Analog

✔ Soft Tissue

✔ Labor & Design

✔ Custom Abutment or Ti-Base

✔ Your Choice of Crown 

✔ Compatible Screw  

✔ FDA Approved Materials

Warranty Covers:

• 5 Year Warranty For Crown

• Lifetime Warranty On All Parts

Simply the best quality, value, and warranty you will find.

Screw Retained Crowns

BDS offers precision fit with a titanium base. Cement free to ensure quick seeding and precise fit. 

Indications:

  • Ideal for insufficient occlusal space Ideal for reducing perio-implantitis, mainly caused by excess cement around the margins. 
  • Location of screw access hole ideal for the middle of posterior teeth and through the lingual of anterior teeth to maintain balanced structural strength.
  • • Not ideal for facial/buccal, incisal, or through a cusp tip

Cement Retained Custom Abutment

Milled from grade 5 titanium with a lifetime warranty on parts.

Indications:

  • Cement-retained restorations maintain the esthetic beauty of a crown. 
  • Requires a minimum of 3mm of cementable surface area to properly keep the crown from separating from the abutment.
  • Cement-retained restorations should always be considered when the screw-access hole is not in an ideal location,when parallelism between multiple implant sites does not allow the restoration to draw (splinted units or bridges). Refer to ASC

Angulated Screw Channel

The use of a custom abutment allows corrections to be made in angulation with anatomical structure for better support and crown retention. 

Indications:

  • No more access holes coming through the buccal plate 
  •   or incisal edge! Eliminate esthetic concerns with the option to
  •    angulate the screw-access hole. ASC offers an angle correction of up to 25 degrees. ASC options for most major implant systems.
    *ASC driver included with first case

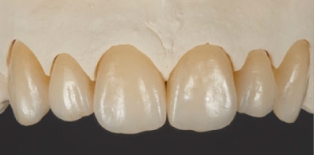
Choose Your Crown From Our ZCrown Family

UTML Ultra Translucent Multi-Layered

STML Super Translucent Multi-Layered

ML Multi-Layered

Recommended Applications

Zirconia UTML/STML is designed to achieve superior results with both gradational chroma and translucency for esthetic restorations.

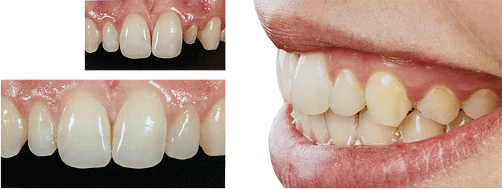
HIGH ESTHETIC WITH Z CROWN ZIRCONIA

NATURAL COLOR GRADIENT WITHIN MULTI LAYERED DISCS 

Multilayered zirconia is the reference when it comes to gradual coloring. It makes your restorations look natural and make them unnoticed.


Minimum Wall Thickness of Zirconia

Contraindications

SAFETY DATA SHEET

Choose Z-Crown Anterior From Bayshore

A Better Lab Experience

www.bayshoredentalstudio.com

855-613-0549